AI for SmarterBrain TumorDiagnosis
Glionis AI develops deep learning solutions that detect and segment brain tumors with clinical-grade accuracy.
Trusted by 72+ hospitals across 15+ countries
Empowering Healthcare with Deep Learning
At Glionis AI, we combine medical imaging expertise with advanced AI to help clinicians detect brain tumors faster, more accurately, and more confidently.
Our mission is to make brain imaging smarter, seamless, and accessible across every clinical workflow.

Advanced AI Technology
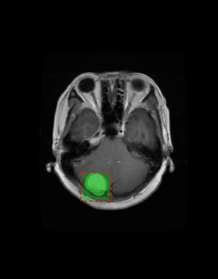
Our AI platform analyzes MRI scans using multi-sequence 3D deep learning models, automatically identifying and measuring tumor regions.
3D MRI Segmentation
Multi-sequence deep learning models for precise volumetric tumor segmentation
Deep Learning Analysis
Advanced neural networks trained on multi-center datasets for clinical-grade accuracy
Clinician-Ready Reports
Automated comprehensive reports with measurements, visualizations, and clinical insights
Clinically Validated Results
Validated on multi-center datasets including BraTS and clinical pilot studies
Dice Score
Segmentation accuracy
Hausdorff Distance
Boundary precision
Time Saved
Per scan analysis
72+
Hospitals
15+
Countries
3M+
Exams Analyzed
99.2%
Accuracy
Experience AI-Driven Brain Tumor Detection
See how Glionis AI can integrate into your workflow and enhance diagnostic precision.
Get in Touch
Have questions about our AI-powered brain tumor detection solutions? Our team is here to help you understand how Glionis AI can transform your radiology workflow.
Address
Dubai, UAE
Send us a message
Fill out the form and we'll get back to you as soon as possible.
